Art of Science 2009 Online Gallery  «Prev | Thumbnails | Next »


I get the blues: on the neurobiology of depression
Barry L. Jacobs (faculty) and Casimir A. Fornal (research scholar)
Princeton Neuroscience Institute
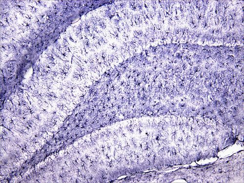
This photomicrograph (at magnification 40X) is of glial cells (glia means "glue" in Greek) from the adult mouse brain in a region called the dentate gyrus. This region is part of a larger brain structure called the hippocampus which is well known to be critical for the formation of new memories.

The dentate gyrus is unique in that it is one of only two brain regions where new brain cells continue to be produced into adulthood, and is therefore believed to be a structure critical for new learning in adults. In 2000, we proposed a theory: that changes in brain cell production in the dentate gyrus were important elements in the descent into, and recovery from, human clinical depression. This image shows hundreds of glial cells stained for a marker protein known as GFAP. The staining uses immunocytochemistry (immunoperoxidase with diaminobenzidine).