Art of Science 2013 Online Gallery  «Prev | Thumbnails | Next »


People's First Place

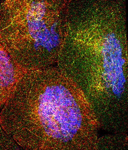
Messenger meshwork

Shawn C. Little (postdoc), Kristina S. Sinsimer (postdoc), Elizabeth R. Gavis (faculty), and Eric F. Wieschaus (faculty)
Department of Molecular Biology
The fruit fly ovary consists of about 100 egg chambers. Each chamber contains 15 "nurse cells." These surround the oocyte, or egg cell, which ultimately will develop into a baby fruit fly. The nurse cells synthesize RNA molecules that are ultimately deposited into the oocyte.

Here we see four nurse cells. Each red or green dot is an individual RNA molecule, which is produced from DNA (shown in blue). The RNA molecules intermingle on a threadlike network that allows them to move from one nurse cell to another and then into the developing egg (which we don't see in this image).