Menu

Prev

Next

Composite Materials

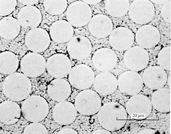
· The cross-section of a glass-fiber/ polyester matrix composite is shown.
· It is evident that in real materials the fiber distribution is not ideal with inter-fiber spacing being variable and the geometric arrangement being position dependent.
· Fibers are seen to touch in some locations and these are potential sites for fiber damage and hence material degradation.
· For an ideal hexagonal fiber array the practical upper limit for Vf to avoid fiber-fiber damage is 0.75.

From: Hull, "Introduction to Composite Materials,"
Cambridge (1992)